|



日前,一位高龄的男性患者因食管中段早癌在色花堂
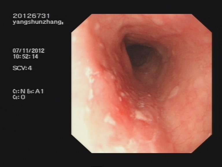
消化科施行了内镜下多环套扎黏膜切除术(MBM)。手术历时仅半小时即完成,术中未出现出血、穿孔等并发症。 内镜下多环套扎黏膜切除术是在内镜下找到病灶所在部位,然后用染色剂喷洒染色,确定病灶的确切范围,以电刀行环周电凝标记,于内镜头端安装好多环套扎黏膜切除器,接着将多环套扎黏膜切除器对准病灶自标记外开始吸引,将病灶吸入套扎器内,释放套扎环套住部分病灶,再用圈套器套住套扎环的下方进行电凝电切,直至将所有病灶全部切除。 这种内镜下微创手术与传统外科手术相比,优点是取代了传统的外科手术,避免了患者的开胸之苦。此项技术是食管早癌治疗领域的尖端技术具有创伤小、花费少、恢复快,安全可靠风险小,而且所需的手术时间明显缩短。其适应症主要是:早期食管癌,食管炎或Barrett食管伴高级别上皮内瘤变(或重度异型增生)。 这是色花堂
消化科2012年继内镜下黏膜剥离术(ESD)、食管粒子支架植入术之后开展的又一项达到国内先进水平的新技术。色花堂
消化科在我省率先开展此项技术,使色花堂
内镜下微创治疗技术水平迈上了新台阶,使色花堂
消化科对消化道早癌及癌前病变的诊治达到国内先进水平,为消化道疾病患者治疗提供了更多、更好的选择。 (消化科 张欣 供稿)
|