“罗大夫,这篇文章就是说的你们医院的对吧?!我就是看了这篇报道,觉得和我娃一模一样,才找到您这里的。”儿科慢咳门诊,一位家属刚进门,就掏出手机向罗志娟主任这样说。
罗主任看去,家长手机上正是上次那篇“三岁孩童咳喘半年”的文章。
让家属坐下慢慢说,果然,这次的小患者是个4岁多的幼儿园小朋友。
“我娃每次咳嗽去看病,大夫都说娃是过敏体质,但是对啥过敏也说不出,还说娃是咳嗽变成哮喘了,让吸了几个月治哮喘的药,我们也挺听医生的话,就是过一阵又犯”……
“您说我娃是不是免疫力低,我们还吃了增强免疫的药呢,吃了有3个月呢,结果……好像也就那么回事”……
“该试的方法都试了,说严重吧也不严重,就是天天听娃咳嗽,她一咳嗽我都头痛、紧张”……
这次来访的小朋友是“胖乎乎”的小可(化名)。今年4岁多,却有着30kg的体重。平时孩子胃口“很好”,说孩子“抵抗力差”,所有的亲朋好友都摇头——“这体格不可能吧”。但一顿饭能“咥”大半碗泡馍的小可,却因间间断断咳嗽问题,往返在医院和家中长达1年之久。
在追问孩子情况后才知道,小可自1岁以后,每年患“支气管炎”约7-8次,最长一次,因为“支气管感染”静脉输液治疗1月之久,1年前曾在某三甲医院诊断为“支气管哮喘”,给予吸入治疗,“到了夏天,咳嗽是比之前能轻点,但一入秋,这不又开始了……”可可妈妈愁眉苦脸的诉说道。
为了更好查清楚弄明白小可的病因,罗主任为她开具了住院。住院后我们对孩子进行了详细的查体及问诊。医生发现,小可的咳嗽大多数是伴有痰的,也就是我们常说的“湿咳”,其出现咳嗽的时间主要是在剧烈活动后。再结合既往诊断“哮喘”时做过的肺功能和FeNO检查,入院后也进行了复查,确实是有气道过敏问题,但为何一直“听话”的用药,病情还是反复迁延不愈呢?
“做个哮喘基因吧,明确下遗传易感问题和用药敏感性。”医生这样给小可的爸妈建议到。
“是那个从嘴巴里采样的检查?!我们有,我们有”。小可的妈妈突然反应过来。第二天,小可的哮喘基因报告就送到我们跟前。根据结果显示,小可有3个基因位点提示阳性,符合遗传性因素,其个人的用药基因提示:丙酸氟替卡松疗效一般,布地奈德疗效较好。
“会不会是吸入方法有问题?”主管医师高大夫提出了疑问。
询问并观察了小可的哮喘药物“吸入方法”,我们果然发现了大问题。小可并不能像成人一样直接吸入药物,本身需要借助“吸入给药器”——储物罐的帮助,却一直选择了模拟“大人”的吸入方法,同时选择了“疗效一般”的丙酸氟替卡松,会是这个原因导致咳嗽1年吗?
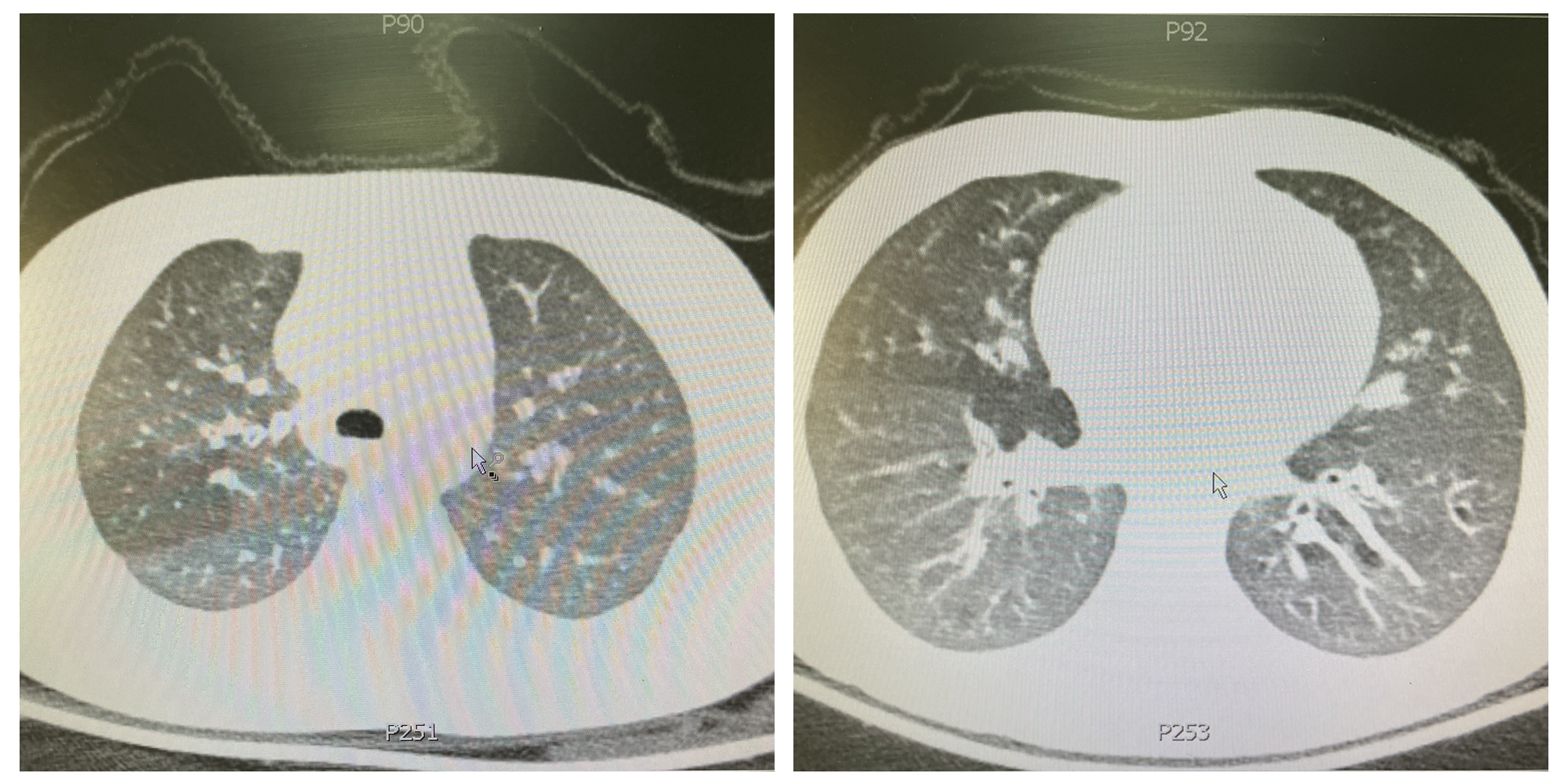
“不,我们还得多考虑一下”。拿到小可胸部CT的结果的罗主任这样说。
在小可的胸部CT上,我们发现了明显的支气管壁增厚和充气不均匀的表现。“小可没有反复哮喘发作和重度哮喘发作的病史”,罗志娟主任提醒大家到:“这不好解释胸部CT为什么会有只有“重症哮喘”病人才会出现的影像学变化。”

儿科支气管镜室负责人王栋副主任医师也非常同意罗主任的观点,在征得家属同意后,入院第3天,我们在全麻下为小可做了支气管镜及肺泡灌洗术。支气管镜下小可的气管和各级支气管粘膜粗糙充血,左主支气管管壁上附着较多白色粘稠分泌物。经过灌洗及冲洗,还吸附出来很多深部的粘稠分泌物。同时,留取了肺泡灌洗液进行外检病原学检查。检测结果回报,一个特殊病原学浮出了水面——副百日咳鲍特菌。
(图为镜下灌洗前)
(图为灌洗后)
至此,导致小可生病长达1年的“小妖怪”终于被找到了。根据菌株的特殊性,在后续为小可选择了红霉素及抗哮喘治疗。
找到了最终病因,可可爸妈非常高兴,出院前,医生还反复指导了如何正确使用储物罐吸入治疗控制哮喘,还叮嘱好后续的随访时间。“这次大夫教的详细,我们真真正正学会吸药了!后面一定按时复诊。”小可妈妈笑眯眯的与我们告别。
小可顺顺利利回家了,可留给我们的还有一个新问题:
副百日咳鲍特菌究竟是什么鬼?为什么会这么难治疗呢?
副百日咳鲍特菌与百日咳鲍特菌为同一菌属,人类为唯一宿主,可引起儿童呼吸道感染,出现百日咳样咳嗽,曾在一些国家或地区流行,但临床发病率较百日咳少见,国内关于儿童副百日咳感染的研究报道较少。
感染副百日咳鲍特菌患儿咳嗽特点以夜间剧烈咳嗽为主,部分咳嗽末有鸡鸣样回声,病程中往往无发热,咳嗽迁延不愈长达数个月,这些表现与百日咳相似。在婴儿可以合并支气管肺炎。发病年龄以学龄前儿童多见,与百日咳相同,以家庭聚集性发病为特点。而之所以“一直打针,一直治疗,却一直不好”的原因是,副百日咳鲍特菌对大环内酯类抗菌药物敏感,也就是需要足量足疗程使用红霉素或者阿奇霉素等药物,而对氨苄西林、头孢呋辛、头孢曲松等耐药,对哌拉西林、头孢哌酮舒巴坦的体外敏感性较百日咳鲍特菌低。所以,常规使用头孢,对它是没有效果的,选对药才是治疗的“关键”。
在本病例的治疗中,一方面依托了支气管镜检查及灌洗术,另一方面,也依靠高通量病原学测序检查,在它们的辅助下,才让医生能“抽丝剥茧”,觅真凶!!!!
色花堂
儿科于2019年开展小儿支气管镜检查项目,目前具有先进的奥林巴斯电子支气管镜系统和床旁支气管镜检查系统,可以进行支气管镜检查、肺泡灌洗术,医护人员操作熟练,与麻醉科配合好,可进行局麻及全麻,技术力量雄厚。该检查已成为广泛应用于儿科呼吸临床的一项诊疗技术。具有镜体较柔软细小、可视范围大、检查阳性率高、适应症广,患儿痛苦小,并发症少等诸多优点,在诊治儿童呼吸系统疾病过程中有重要价值。 主要适应症有:反复或持续性喘息、局限性喘鸣、不明原因的慢性咳嗽、反复呼吸道感染、可疑异物吸入、咯血、胸部影像学异常(气管支气管肺发育不良或畸形、肺不张、肺气肿、肺部团块状病变、肺部弥漫性疾病、纵膈气肿、气道或纵膈占位、血管淋巴管或食管发育异常)、肺部感染性疾病的病原学诊断及治疗等。
